TMJ Disorder
Temporomandibular Joint Disorder can cause jaw pain, headaches, clicking, popping, difficulty chewing, and limited jaw movement. Our dental team evaluates the source of your discomfort and offers personalized treatment options to help relieve pain, restore function, and improve daily comfort.
SPLINT THERAPY
This conservative dental treatment aims to reduce joint strain, muscle tension, and tooth damage by wearing a custom night guard or appliance.

T-SCAN EQUALIBRATION
T-scan equilibration focuses on the stability of the overall bite by using special resistor sensors. A stable bite reduces the strain and destruction of the TMJ.
BONDING
Cosmetic Bonding is similar to veneers, though we utilize tooth-colored resins to improve overall esthetics. This can also sometimes be done without any drilling on the natural tooth structure.

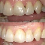
BLACK TRIANGLE TREATMENT
Black Triangles are the space between teeth that have lost bone and/or tissue. These spaces are sometimes highly noticeable in the smile. The most common solution is a specialized type of bonding with the BioClear system.

BLEACHING
In-office and take-home bleaching options are available at Northlake Dental. Bleaching can only be done on natural teeth and will not change the shade of existing restorations. Bleaching causes no damage whatsoever to the tooth and provides an instantaneous improvement in the shade of natural teeth.

CLEAR ALIGNERS
Northlake Dental can provide clear aligner therapy in conservative cases to improve esthetics and crowding. Aligners are also frequently used in smile makeovers to create a harmonious bite for conservative preparations and long-lasting restorations.

