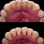
Preventative Care
CLEANING
Preventative Hygiene care to remove surface stains, plaque, and tartar with specialized instruments.

DEEP CLEANING
Periodontal Treatment that involves sub-surface cleaning and planing of the tooth to prevent tooth loss and remove pathogenic bacteria.

MICROBELINK DX
Salivary bacterial testing to identify key pathogens that could negatively affect periodontal and systemic health

DIGITAL OCCLUSAL ANALYSIS WITH T SCAN
focusing on the stability of the overall bite by using special resistor sensors. Helpful in healing certain occlusal-related TMJ disorders, protecting implants, and protecting full-mouth restorations.
